GM10923
LCL from B-Lymphocyte
Description:
APPARENTLY HEALTHY INDIVIDUAL
|
Repository
|
NIGMS Human Genetic Cell Repository
|
| Subcollection |
Heritable Diseases |
| Alternate IDs |
GM17003 [APPARENTLY HEALTHY INDIVIDUAL] |
|
Biopsy Source
|
Peripheral vein
|
|
Cell Type
|
B-Lymphocyte
|
|
Tissue Type
|
Blood
|
|
Transformant
|
Epstein-Barr Virus
|
|
Sample Source
|
LCL from B-Lymphocyte
|
|
Race
|
White
|
|
Ethnicity
|
GERMAN
|
|
Family Member
|
2
|
|
Relation to Proband
|
father
|
|
Confirmation
|
Karyotypic analysis and Case history
|
|
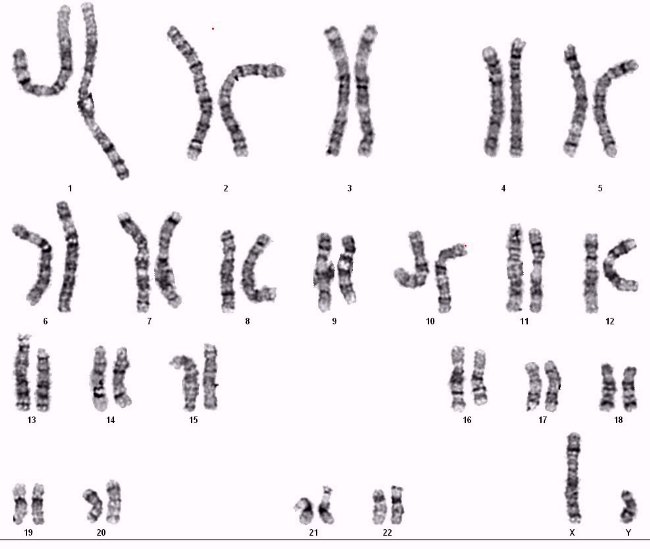
ISCN
|
45,X[2]/46,XY[48]
|
|
Species
|
Homo sapiens
|
|
Common Name
|
Human
|
|
Remarks
|
|
| IDENTIFICATION OF SPECIES OF ORIGIN |
Species of Origin Confirmed by Glucose-6-Phosphate Dehydrogenase and Lactate Dehydrogenase Isoenzyme Electrophoresis and by Chromosome Analysis |
| |
| Remarks |
Child with del(7)(p13p15) karyotype; spouse of GM10924; father of GM10925 Lymphoid; 46,XY,16qh+; 4% of cells show random chromosome loss; son with del(7) has Greig cephalopolysyndactyly syndrome |
| Bibikova M, Lin Z, Zhou L, Chudin E, Garcia EW, Wu B, Doucet D, Thomas NJ, Wang Y, Vollmer E, Goldmann T, Seifart C, Jiang W, Barker DL, Chee MS, Floros J, Fan JB, High-throughput DNA methylation profiling using universal bead arrays Genome research16:383-93 2006 |
| PubMed ID: 16449502 |
| |
| Raymond CK, Kas A, Paddock M, Qiu R, Zhou Y, Subramanian S, Chang J, Palmieri A, Haugen E, Kaul R, Olson MV, Ancient haplotypes of the HLA Class II region Genome research15:1250-7 2005 |
| PubMed ID: 16140993 |
| |
| Sotamaa K, Liyanarachchi S, Mecklin JP, Järvinen H, Aaltonen LA, Peltomäki P, de la Chapelle A, p53 codon 72 and MDM2 SNP309 polymorphisms and age of colorectal cancer onset in Lynch syndrome Clinical cancer research : an official journal of the American Association for Cancer Research11:6840-4 2005 |
| PubMed ID: 16203772 |
| |
| Jurevic RJ, Bai M, Chadwick RB, White TC, Dale BA, Single-nucleotide polymorphisms (SNPs) in human beta-defensin 1: high-throughput SNP assays and association with Candida carriage in type I diabetics and nondiabetic controls. J Clin Microbiol41(1):90-6 2003 |
| PubMed ID: 12517831 |
| |
| Halushka MK, Fan JB, Bentley K, Hsie L, Shen N, Weder A, Cooper R, Lipshutz R,
Chakravarti A, Patterns of single-nucleotide polymorphisms in candidate genes for
blood-pressure homeostasis. Nat Genet22(3):239-47 1999 |
| PubMed ID: 10391210 |
| Split Ratio |
1:3 |
| Temperature |
37 C |
| Percent CO2 |
5% |
| Medium |
Roswell Park Memorial Institute Medium 1640 with 2mM L-glutamine or equivalent |
| Serum |
15% fetal bovine serum Not Inactivated |
| Substrate |
None specified |
| Subcultivation Method |
dilution - add fresh medium |
| Supplement |
- |
|
|